Denmark Street Logo
Contact
Book now

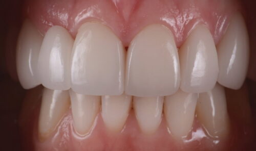
Full-Arch Implants

Also known as ‘teeth in a day’, our full mouth dental implant treatment is the ideal option for patients with a full mouth of missing teeth, ill-fitting dentures, or failing teeth. With this cutting-edge treatment, it’s possible to restore your smile in just a single appointment. There’s no need to be without a full smile for a moment longer.

What are full-mouth implants?

Full mouth rehab is an extremely predictable course of treatment for replacing one or two full arches of missing or failing teeth. Using computer-aided smile design, we can show you how your teeth will look before treatment begins and accurately identify where to place the implants for best results.

Full mouth rehabilitation uses 4–6 implants, which are specifically angled to support a prosthesis encompassing a full set of teeth. This makes it much more cost-effective than having single implants for each gap.

The technology and method we use allow for the placement of a whole arch of temporary teeth in just one appointment. Our implant surgeons have performed thousands of full-mouth dental implant cases and continue to undergo specialist training to keep up to date with the most cutting-edge treatment planning placement techniques. Once your temporary teeth have been placed, you can enjoy a full smile whilst you wait for your jaw to recover from the implant surgery.

Benefits of full-mouth implants

Our patients love full-mouth dental implants because:

  • They no longer need to wear a traditional set of dentures.
  • No risk of slipping and sliding dentures.
  • Improved speech and chewing ability.
  • No gum irritation as your new teeth are fixed in place.
  • Completely bespoke and natural-looking.

What to expect from dental implant treatment?

We treat every implant placement with the utmost seriousness and attention it needs. To ensure all of our patients are 100% satisfied with their treatment, we have in place the following 7 key stages: the consultation stage, the assessment stage, the planning stage, the surgical stage, the temporary restoration stage, the final restoration stage, and the maintenance stage.

Stage 1: Free Consultation

The first step in your journey is to take advantage of our free consultation service. This is ideal for anyone who is looking to learn more about treatment in a relaxed and non-clinical environment. Our highly-trained team will understand what your concerns are and how you would like to improve your smile. We will go through all the relevant treatments, providing you with detailed information on the benefits, risks, and processes of the treatments. We will also share with you an idea of how much your treatment could cost and discuss financing options. Furthermore, we will share with you examples of patients we have helped who were in a similar situation to yourself. This appointment lasts approximately 45 minutes and is completely free of charge.

Stage 2: Clinical Assessment

Once you are ready to progress to the next step, we will invite you to an hour-long implant assessment. Our clinical team will listen to your concerns and understand the areas in which you would like to improve. You will be provided with an oral health assessment, after which we will conduct a 3D bone scan. The bone scan will allow our team to assess your bone level, any infections, and other dental risks or considerations. We will share these findings with you and provide you with detailed information on your implant options.

Stage 3: Planning Stage

The planning stage is arguably the important stage of an implant journey. Our clinical team works together to develop a treatment plan that we believe will give you the best and most predictable results. You will be provided with a bespoke treatment plan, which will include information about your general health, your dental health, the treatment that you have selected, the process, and the possible risks and complications. It will also include fees and payment options. We will only move to the surgical stage once you are 100% happy with your treatment plan.

Stage 4: Surgical Stage

Typically, our clinical team will schedule half a day for each patient who has dental implant treatment with us. Therefore, the session may take anywhere between 2 and 4 hours. If you have opted for IV sedation, then this will be administered to you upon your arrival. If you are nervous about having dental treatment, intravenous (IV) sedation is an effective and safe treatment. IV sedation brings you to a state of semi-consciousness. You won’t be fully aware of what’s happening, but you will be able to respond to verbal commands or light touches. After this, the surgical procedure will begin, which can consist of existing tooth or root removal, hygiene treatment, bone grafting, and dental implant placement.

Stage 5: Temporary Restoration Stage

Patients are provided with a temporary restoration after their implant surgery. However, some patients need to wait several months while the implants fully heal before they can be restored with a crown or a bridge. A common reason why implants fail is to do with loading the implants too early. Therefore, our team will never rush the healing process. Our team will carefully monitor your progress over the upcoming months to ensure your implants are healing and binding well to your jawbone.

Stage 6: Final Restoration Stage

Once we are satisfied with the progress of your implants, we will only then move on to designing your final restoration. We are fortunate to have an on-site dental laboratory where we manufacture all of our restorations in-house. Our patients often spend time at our laboratory, meeting the dental technicians who will create the final restoration. During this process, our patients are encouraged to bring in old photographs of their smiles and fully immerse themselves in the smile design process.

Stage 7: Maintenance Stage

To minimise implant failure rates and ensure long-term success, our patients are provided with detailed information on how to care for their implants. Your treating dentist will recommend a suitable maintenance plan, which may include regular dental assessments, hygiene, and gum treatment, as well as annual implant health assessments.

Finance

For treatments over £1,000, we offer flexible financing options, including interest-free plans for 6, 12, or 18 months, and interest-bearing plans for 24, 36, 48, or 60 months. Use our finance calculator below to to calculate your rate.

Treatment Pricing

Monthly
Total Price
Full Arch Implants/All-On-4
£00.00
OR
From £15,000
Denmark Street Dental

Finance Calculator

Finance is available for treatments up to £30,000. Credit decisions will be subject to your individual circumstances. You must be over 18 and earn an income to apply.

launch finance calculator

Frequently Asked Questions

What are full-mouth implants?

Also known as ‘teeth in a day’, our full mouth dental implant treatment is the best option for patients with a full mouth of missing teeth, ill-fitting dentures, or failing teeth. With this cutting-edge treatment, it’s possible to restore your smile in just a single appointment. Full mouth rehab is an extremely predictable course of treatment for replacing one or two full arches of missing or failing teeth.

Using computer-aided smile design, we can show you how your teeth will look before treatment begins and accurately identify where to place the implants for best results. Full mouth rehabilitation uses 4–6 implants, which are specifically angled to support a prosthesis encompassing a full set of teeth. This makes it much more cost-effective than having single implants for each gap. The technology and method we use allow for the placement of a whole arch of temporary teeth in just one appointment.

Our implant surgeons have performed thousands of full-mouth dental implant cases and continue to undergo specialist training to keep up to date with the most cutting-edge treatment planning placement techniques. Once your temporary teeth have been placed, you can enjoy a full smile whilst you wait for your jaw to recover from the implant surgery.

What are the advantages of full-mouth dental implants?

Our patients love full-mouth dental implants because:

  • They no longer need to wear a traditional set of dentures.
  • No risk of slipping and sliding dentures.
  • Improved speech and chewing ability.
  • No gum irritation as your new teeth are fixed in place.
  • Completely bespoke and natural-looking.

How long does the procedure take?

The surgical procedure to place an implant usually takes one to two hours. However, the entire process, from the initial consultation to the final fit, can take 10 to 16 weeks.

How much does it cost?

The cost of full mouth implant treatment in the UK can vary depending on the type of implant, the number of implants required, and the type of dental bridge required. Prices can also vary depending on the complexity of the procedure, as some patients may require Sedation, Bone Grafting, or Gum Disease treatment. In the UK, treatment prices often range between £10,000 – £15,000 per arch.

Do you offer finance for dental implant treatment?

Yes, we offer interest-free and interest-bearing finance so that implants remain accessible to all our patients. Whilst implants may be the premium solution for tooth loss, they are the ones that are most likely to last your whole life.

Is it painful?

Most patients report that the procedure is not painful, though you may experience some discomfort. You will be given painkillers after the surgery.

Can I eat whatever I want?

Yes, after a period of healing, patients can eat whatever they desire with full mouth implant treatment.

Can I smoke or drink alcohol?

Smoking and drinking alcohol can negatively impact the health of your gums and bones, so you may need to reduce or quit before or during treatment.

Who can have implants?

Implants are suitable for most fully grown adults who are in good general health and have no dental disease.

What if I need a bone graft?

If you don’t have enough bone to place implants, you may need a bone graft before the procedure. This can add another 3–6 months to the treatment duration.

Can I drive or take public transport after surgery?

No, you should not drive or take public transport after surgery.

Are implants really permanent?

With the right care, there’s no reason why your implant can’t last a lifetime. As they behave like real teeth, they can also be cared for in the same way as you would care for a real tooth. Brushing, flossing, eating a low-sugar and low-acid diet, and having regular dentist and hygienist visits are all integral to the long-term success of implants. Implants at Denmark Street Dental have a 98% success rate, so they’re an incredibly predictable treatment.

Who is suitable for a dental implant?

We will be able to determine for certain if you are suitable for dental implants, but generally, if you are in good health, you will be suitable. We will assess the general condition of your mouth and look at the quantity and quality of bone to see if dental implants are an appropriate treatment. We very often take radiographs (X-rays) of the area, which indicate the amount of bone available for implant placement.

How is a dental implant placed?

Dental implants are often inserted extremely carefully while under local anaesthesia. You should anticipate some soreness and swelling for a few days after this, but you will soon be able to resume your regular activities. Following this treatment, comprehensive aftercare advice is provided, and if you have any questions, we provide a phone number so you can call us for guidance and comfort.

Does dental implant treatment hurt?

It’s a rather simple surgery that may typically be performed under local anaesthesia. After the procedure, you might feel uncomfortable, and you’ll probably be prescribed pain medication to help with any pain you might have. Nonetheless, the majority of patients generally state that the surgery was not at all unpleasant, at least not as much as they had anticipated.

How long does the surgery take?

One implant can often be placed in about an hour, though this depends on how complicated the case is. This will rely on how much extra work is needed on your gums or any bone grafting that may be necessary.

Why is there a 3-6 month waiting period before the implants can be built upon?

It is necessary for the implants to adhere to the bone through a process known as osseointegration. The quality of the bone where the implants were inserted affects how long this waiting period lasts.

What happens if I do not have sufficient bone?

The quality and amount of bone are essential for effective implants, and occasionally, we must replace missing bone, which typically takes the shape of a little augmentation around the implant’s neck. We may typically do this procedure concurrently with implant implantation, depending on the extent of the deficit.

I’m embarrassed about coming in – can you help?

We understand that coming in to seek implant-based treatments is a huge life event. Our clinicians are compassionate people who encounter many patients who feel self-conscious about the condition of their mouths.

We understand how debilitating lost teeth can be, particularly on your confidence levels and your everyday happiness. We are very happy to book you for a tour of the practice or an appointment with our treatment coordinator in a non-clinical setting before your consultation.

Who performs my treatment?

Multiple members of the Denmark Street Dental clinical team will be involved in the planning, creation and placement of your implant. This includes dentists, dental nurses, dental technicians and sedation dentists, who work seamlessly together to deliver a predictable result.

Can you offer sedation?

We do. Sedation is invaluable for helping extremely anxious patients relax during their implant surgery. Read more about how sedation can benefit you as a nervous patient here.

How does the Denmark Street Dental team work to deliver my treatment?

Having a dental implant placed involves more than just filling the gaps in your smile. We undertake a full clinical evaluation of the condition of your mouth to ensure that once the implants have been placed, they have the best possible chance of becoming successful, permanent solution.

Why choose Denmark Street Dental for my dental implant treatment?

As a specialist-led practice, we’re fortunate to have the talents of some extremely gifted and experienced implant dentists. With the latest technologies at our disposal, the planning and execution of your implant journey will be seamless and precise. You can expect to be looked after by caring professionals who have a genuine passion for what they do. All of our dentists are continuously engaging in advanced training to remain the best in their field.

No one should have to live with the loss of confidence that can follow losing teeth. It’s a real privilege to put a smile back on the faces of our patients. We’re proud to be the leading provider of implant treatments in the North-East.

Book now

Book your free consultation

Do you want a better smile but not sure where to start?

book-your-free-consultation-thumb
thumb1 instagram
thumb2 instagram
thumb3 instagram
thumb4 instagram
thumb5 instagram
thumb6 instagram
thumb7 instagram
thumb8 instagram
View on instagram
4.8
Google Rating